Advertisement intended for health care professionals

l

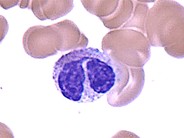
Pelger Huet Cell - 1.

Pelger Huet Cell - 1.
#00002117
Author: Peter Maslak
Category: Reactive Marrow
Published Date: 06/03/2003

Peripheral blood from a patient with myelodysplastic syndrome shows a hypolobulated Pelger Huet cell.


Advertisement intended for health care professionals