Advertisement intended for health care professionals

l

Tularemia Lymphadenitis - 3.

Tularemia Lymphadenitis - 3.
#00002251
Author: Liron Pantanowitz; Marshall Kadin;
Category: Reactive Marrow > Atypical lymphoproliferative disorders
Published Date: 09/27/2011

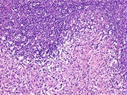
Neutrophil-rich areas within the coagulative necrosis form microabscesses. H&E stain. 200x Magnification.


Advertisement intended for health care professionals