Advertisement intended for health care professionals

l

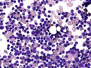
Peripheral T-cell lymphoma, unspecified bone marrow aspirate - 2.

Peripheral T-cell lymphoma, unspecified bone marrow aspirate - 2.
#00003522
Author: Peter Maslak
Category: Lymphoma: Mature T and NK cell lymphoproliferations > Mature T-cell Lymphomas > Peripheral T-Cell Lymphoma, not otherwise specified
Published Date: 04/01/2008

A higher-power view reveals that the lymphoid cells have irregular nuclear contours.


Advertisement intended for health care professionals