Advertisement intended for health care professionals

l

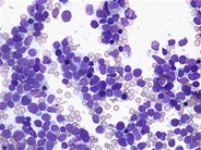
Precursor T-cell lymphoblastic leukemia - 2.

Precursor T-cell lymphoblastic leukemia - 2.
#00003536
Author: Peter Maslak
Category: Myeloid Neoplasms and acute leukemia (WHO 2016) > Precursor Lymphoid Neoplasms > T-lymphoblastic leukemia/lymphoma
Published Date: 04/01/2008

Cells vary in size. Some forms appear elongated or stretched.


Advertisement intended for health care professionals