Advertisement intended for health care professionals

l

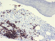
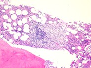
Systemic mastocytosis - 1.

Systemic mastocytosis - 1.
#00004052
Author: John Lazarchick
Category: Myeloid Neoplasms and acute leukemia (WHO 2016) > Mastocytosis
Published Date: 11/01/2009

Scattered mast cells (arrows) with variable granulation are shown in this bone marrow aspirate.


Advertisement intended for health care professionals