Advertisement intended for health care professionals

l

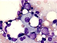
Gaucher’s disease - 1.

Gaucher’s disease - 1.
#00004075
Author: Peter Maslak
Category: Myeloid Disorders > Lysosomal storage disorders > Gaucher
Published Date: 11/01/2009

Gaucher cells are macrophages containing cerebrosides.


Advertisement intended for health care professionals