Advertisement intended for health care professionals

l

DETECTION OF BACTEREMIA ON PERIPHERAL BLOOD SMEAR.

DETECTION OF BACTEREMIA ON PERIPHERAL BLOOD SMEAR.
#00065063
Author: DR AKANKSHA FOKMARE; DR RUPALI PARIKH; DR PARESH MARATHE; DR SIDDESH GUPTA; BOMBAY HOSPITAL; MUMBAI; INDIA.
Category: Infectious Disease > Bacteria > Klebsiella and Pseudomonas
Published Date: 08/02/2024

Septicemia necessitates rapid diagnosis and intervention due to its critical nature. While the confirmation of sepsis typically relies on identifying organisms in blood or at the infection site, often done through time-consuming culture methods, which may not significantly influence initial treatment decisions. In such cases, microscopic examination of peripheral blood can expedite the confirmation of septicemia, allowing doctors to promptly choose a more targeted therapy. While various bacterial species have been observed in peripheral blood smears, occurrences of bacteraemia caused by gram-negative rods are infrequent.[1,2,3]

We present the case of a 31-year-old pregnant female at 28 weeks gestation, gravida 3, para 1, living 1, abortus 1, who was admitted with a constellation of symptoms. The patient complained of breathlessness, haematuria, intermittent fever, and the presence of a reddish-black patch on her right leg, which had progressively increased in size without associated itching or pain. She had a recent history of oral candidiasis, which was treated for one week, and reported painful cervical lymphadenopathy.

Upon admission, her complete blood count (CBC) revealed significant abnormalities, including haemoglobin (Hb) of 3.90 g/dl, a white blood cell (WBC) count of 3,79,400/mm³(Neutrophils 5%,Lymphocytes 7%,Monocytes 3%,Promyelocytes 1%,Blasts 83%) and a platelet count of 81,000/mm³. Subsequent bone marrow aspiration and biopsy were performed, confirming the diagnosis of Acute Myeloid Leukaemia (AML).The patient was promptly initiated on chemotherapy with Injection Cytarabine. Post-chemotherapy, she was managed symptomatically and received multiple packed red blood cell (PCV) and platelet transfusions due to profound cytopenia. She was placed under strict neutropenic care to minimize the risk of infections.

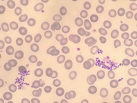
During her hospitalization, the patient reported episodes of loose stools and fever prompting blood culture. Peripheral smear demonstrated the presence of intracellular bacilli within neutrophils (Fig A), indicative of a concurrent bacterial infection.The subsequent blood culture was positive for Klebsiella Pneumoniae. Antibiotic therapy was promptly initiated to address the bacterial infection.

 

While traditional culture methods are indispensable, peripheral blood smears can expedite septicemia diagnosis, improving patient outcomes. Despite limitations in sensitivity and species differentiation, PBS can be more effective with enhanced techniques like buffy coat examination and increased laboratory expertise. This case demonstrates that PBS, when properly utilized, is a valuable tool in managing septicemiapromptly.[4,5]

Refrences-

1.     Fife A, Hill D, Barton C, Burden P. Gram negative septicaemia diagnosed on peripheral blood smear appearances. J Clin Pathol. 1994;47(1):82-84. doi:10.1136/jcp.47.1.82

2.     Sohn HE, Chung HR. Bacteremia diagnosed on peripheral blood smear before blood cultures become positive: a case report. Korean J Clin Pathol. 1999;19:27-30.

3.     Jeong TK, Jae HL, Hye SL, Yong GC, Dal SK, Sam IC, Soo CC. Bacteremia detected by a peripheral blood smear in a pediatric surgical patient with thrombocytopenia. Korean J Clin Microbiol. 2010;13(4):182-185.

4.     Kroft SH. Infectious diseases manifested in the peripheral blood. Clin Lab Med. 2002;22(1):253-277.

5.     Rana C. Gram Negative Bacteremia Diagnosed on Peripheral Blood Smear Examination. Journal of Hematology, North America. 2015 Apr;4.

Advertisement intended for health care professionals