Advertisement intended for health care professionals

l

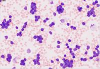
Acute Lymphoblastic Leukemia with cup-shaped blast morphology 1

Acute Lymphoblastic Leukemia with cup-shaped blast morphology 1
#00065753
Author: Leonel Alvarado, MP.Path; David Garrido
Category: Myeloid Neoplasms and acute leukemia (WHO 2016) > Precursor Lymphoid Neoplasms > B-lymphoblastic leukemia/lymphoma
Published Date: 09/30/2025

A 34-year-old female presenting with a three-month history of severe weight loss and asthenia. She was evaluated in the emergency department, where a complete blood count revealed leukocytosis of approximately 400,000 leukocytes, with 98% blasts.

Morphological Findings:
Microscopic examination showed blast-like cells characterized by large size, clear to basophilic agranular cytoplasm, and nuclei with fine chromatin and multiple nucleoli. Additionally, cup-shaped blasts were observed.

Flow Cytometry:

Flow cytometry red cells showed CD45⁺, cyCD79a⁺, CD19⁺, CD34⁻/⁺ (34%), CD10⁺ (heterogeneous), CD38⁺ (homogeneous), CD58⁺, cyIgM⁺, CD22⁻/⁺ (dim), CD24⁻/⁺ (dim), and nuTdT⁺, confirming a diagnosis of Pre-B acute lymphoblastic leukemia. Blue cells are B lymphocytes and yollow cells are T lymphocytes.

Although cup-shaped blasts are more commonly associated with myeloid leukemias, particularly NPM1-mutated cases, this finding is not pathognomonic.


Advertisement intended for health care professionals