Advertisement intended for health care professionals

CLL with Trisomy 12

Author:  Reva Channah Goldberg; Girish Venkataraman, MD; Joseph Cho; Michael Thirman, 08/05/2019
Category: Lymphoma: Mature B-cell and Plasma cell Neoplasms > Low-grade B-cell lymphoma > Chronic Lymphocytic Leukemia/Small Lymphocytic Lymphoma
Published Date: 08/05/2019

The patient is a 75-year-old male with trisomy 12 CLL, CD38+/ ZAP70+ with cutaneous involvement, Rai stage IV with progressive anemia. He was enrolled for treatment on a clinical trial (Obinutuzumab with Ibrutinib+/-venetoclax). There were two pathogenic FBXW7 mutation as well as PTPN11 mutations in his CLL cells on the bone marrow biopsy. 

CBC data:

  • WBC................97.8 K/uL
  • Hemoglobin.......6.5 g/dL
  • Platelet Count...83 K/uL
  • 84% Circulating CLL cells.

The bone marrow was extensively involved by CLL 90% in the blood and marrow.

Learning Points:

  1. CLL cells express CD5 and CD23 and typically express dim light chain as noted here.
  2. Positive ZAP-70 correlates with an unmutated IGHV status and portends poor outcome usually. T-cells express bright ZAP-70 normally.
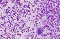
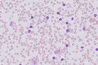
Figure 1: CLL with Trisomy 12-Blood

There is marked lymphocytosis with increased numbers of circulating CLL lymphocytes with clumped nuclear chromatin and scattered smudge cells/basket cells.

CLLBlood
#00062501
 
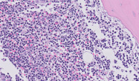
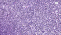
Figure 2:CLL with Trisomy 12-H&E

Bone marrow core biopsy demonstrates 90% cellular marrow extensively involved by diffuse lymphoid infiltrate of CLL cells.  Image at the top right shows vague nodular structure consistent with growth center.  At higher power, the lump chromatin and small cytomorphology of CLL cells is apparent.  At the image in the bottom left, a normal megakaryocyte can be seen towards the right side.

CLLHE-Low-Power
#00062503
 
CLLHE-Low-Power
#00062504
 
CLLHE-High-Power
#00062506
 
CLLHE-High-Power
#00062505
 
Figure 3: PAX5 immunostain in CLL

The infiltrate of CLL cells is diffusely positive for PAX5, nuclear B-cell marker.  CD20 was already performed and found to be positive by flow cytometry as shown below.

CLLPAX5
#00062507
 
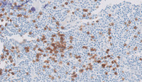
Figure 4: CD3 and CD5 and CLL

Comparison of the CD3 and CD5 immunostain shows markedly increased numbers of CD5 positive cells compared to CD3.  The CD3 stain on the left side shows only scattered positive cells, consistent with T cells while the bulk of the infiltrate is negative for CD3.  CD5 however shows moderate to bright staining in the T cells (black arrows) while the CLL cells demonstrate dim staining uniformly.

CLLCD3
#00062502
 
CLLCD5
#00062499
 
Figure 5: CLL with Trisomy 12-LEF1 & Zap70

Lef1 highlights scattered T-cells (solid black arrows) that stain brightly. CLL cells are focally positive with dim expression. LEF1 is a nuclear stain that may work suboptimally in decalcified B-5 fixative.

CLL cells are moderately positive for ZAP70. There are scattered T-cells (internal control) that show bright ZAP70 expression.  

CLLLef1
#00062500
 
CLLZap70
#00062508
 
Figure 6: CLL with Trisomy 12-Aspirates

The lower power image (on the left) shows sheets of small lymphocytic cells consistent with CLL, a single megakaryocyte to the bottom right of the image, and a rare prolymphocyte.  

The higher power image (on the right) shows the same and highlights some myelocytes (indicated by the arrows).  

CLLAspirate
#00062498
 
CLLAspirate
#00062497
 
Figure 7: CLL with Trisomy 12-Flow Cytometry 1

The CD19 with side scatter (pictured on the left) shows that B cells are 78% of all cells. 

The CLL cells (colored in blue) express dim CD5 and CD23 (pictured on the right).  

CLLCD19
#00062513
 
CLLCD5-vs-CD23
#00062510
 
Figure 8: CLL with Trisomy 12-Flow Cytometry 2

CLL cells (colored in blue) express moderate CD20 (pictured on the left). Note the expression levels of CD20 are brighter than typical CLL, keeping with the trisomy 12 disease. Trisomy 12 disease is associated with an atypical immunophenotype including bright CD20 and increased circulating prolymphocytes. In this case, prolymphocytes were about 5% of all cells in both the blood and bone marrow aspirates. Expression of CD38 is associated with poor outcome in CLL.  

All cells depicted (pictured on the right) come from the lymphocyte gate as noted above. CLL cells (colored in blue) are positive for CD38 and dim to negative for CD5. Note the T cells (colored in purple) are moderate for CD5. 

CLLCD20-vs-CD38
#00062514
 
CLLCD5-vs-CD38
#00062511
 
Figure 9: CLL with Trisomy 12-Flow Cytometry 3

CLL cells (colored in blue) show a dim restricted kappa light chain. Dim surface light chain expression is also typical of CLL as compared to other mature B cell leukemias and lymphomas. Trisomy 12 CLL may express moderate-bright light chain in some instances. 

CLLKappa-vs-Lambda
#00062515
 
Figure 10: CLL with Trisomy 12-Flow Cytometry 4

Note that this is an ungated analysis including all cells. The two smaller pink populations depict T cells expressing either CD4 or CD8. The larger cluster on the bottom left depicts CLL cells that are negative for both CD4 and CD8.  

The population on the top right shows T cells positive for CD3 and CD2. The cluster on the bottom left depicts CLL cells which are negative for CD3 and CD2. 

CLLCD4-vs-CD8
#00062512
 
CLLCD3-vs-CD2
#00062509
 

Advertisement intended for health care professionals