Advertisement intended for health care professionals

Lymphomatoid granulomatosis, grade 3

Author:  Girish Venkataraman, MD, MBBS; Sonali M. Smith, MD, 07/19/2018
Category: Lymphoma: Mature B-cell and Plasma cell Neoplasms > Virus-associated lymphoproliferations > Lymphomatoid granulomatosis
Published Date: 07/19/2018

This is a 34-year-old male with B-symptoms and multiple lung lesions. Wedge biopsy of lung lesions was done.

The biopsy findings are typical of lymphomatoid granulomatosis, an EBV-associated lymphoproliferative disorder that affects younger population who are immunosuppressed. Over 90% have lung involvement at diagnosis. This entitiy rarely affect nodes and spleen. Other sites of involvement include skin and CNS.

Learning points:

  1. EBV transformed cells restricted to the perivascular location are typical of Lymphomatoid granulomatosis
  2. Three grades exist, Grade 1 throught 3 with grade 3 containing the most large EBV-transformed B-cells.
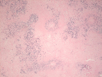
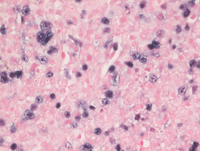
HE images

Low power shows patchy and occasional confluent multifocal infiltrates within the lung parenchyma.

Lymphomatoid-granulomatosis
#00061736
 
Lymphomatoid-granulomatosis
#00061737
 
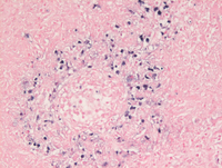
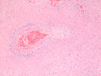
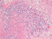
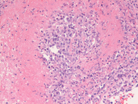
HE high power

Higher power images demonstrate patchy clusters are large atypical cells which are seem to be perivascular/angiocentric (second and third image) with large areas of confluent necrosis.

Lymphomatoid-granulomatosisHE
#00061746
 
Lymphomatoid-granulomatosisHE
#00061747
 
Lymphomatoid-granulomatosisHE
#00061745
 
Lymphomatoid-granulomatosis
#00061744
 
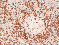
CD20 in LyG

CD20 immunostain (B-cell marker) at low power highlights prominent near exclusive perivascular CD20 positive infiltrates. On higher power these CD20 positive cells are noted to be large B cells present in the perivascular location.

Lymphomatoid-granulomatosisCD20
#00061735
 
Lymphomatoid-granulomatosis
#00061738
 
Lymphomatoid-granulomatosisCD20
#00061739
 
CD3 in LyG

CD3 (T-cell marker) also shows numerous small reactive T cells present in the angiocentric location and are also seen to be infiltrating into the vascular wall. This feature is also typical of lymphomatoid granulomatosis.

Lymphomatoid-granulomatosisCD3
#00061740
 
EBV ISH in LyG

EBV in situ hybridization stain (low medium and high-power) demonstrates near exclusive perivascular EBV positive cells spatially matching in pattern with the CD20 noted previously. Note that the EBV positive cells are somewhat being sized including small medium as well as large positive cells.

Sometimes, the distinction of EBV-positive diffuse large B-cell lymphoma, not otherwise specified and lymphomatoid granulomatosis, grade 3 can be difficult since LyG-like areas can be present in the former entity sometimes. The clinical presentation with lung lesions in a younger person with near exclusive angiocentric lesions should prompt the diagnosis of lymphomatoid granulomatosis.

Lymphomatoid-granulomatosisEBER
#00061741
 
Lymphomatoid-granulomatosis
#00061742
 
Lymphomatoid-granulomatosisEBER
#00061743
 

Advertisement intended for health care professionals