Advertisement intended for health care professionals

View by Grid View   List View
Sort by
Total records: 6,680
To download multiple images please select individual images and then click on download images link (max 12 images can be selected).
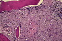
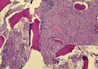
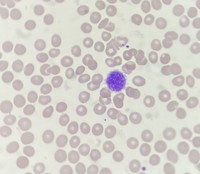
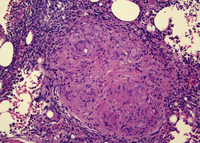
  • CML
    Najmaldin Saki (P...
    Chronic Myelogeno...
Next

Advertisement intended for health care professionals