Advertisement intended for health care professionals

Explore Collection View all

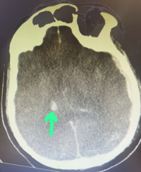
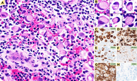
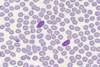
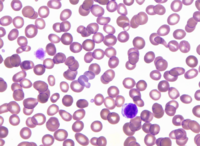
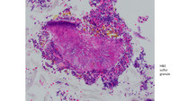
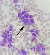
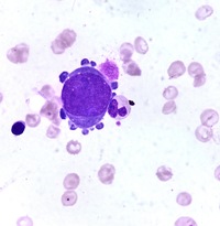
  • NRBC
    Najmaldin Saki, P...
    Nucleated Red Blo...

Advertisement intended for health care professionals