Advertisement intended for health care professionals

View by Grid View   List View
Sort by
Total records: 6,567
To download multiple images please select individual images and then click on download images link (max 12 images can be selected).
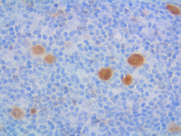
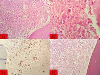
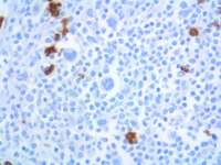
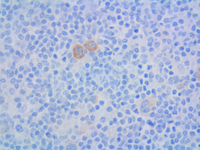
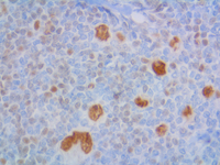
  • Figure 1(a-d)
    Dr Kanwaljeet Sin...
    Classical Hodgkin...
Next

Advertisement intended for health care professionals