Advertisement intended for health care professionals

l

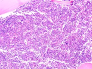
Marrow findings in JMML - 2.

Marrow findings in JMML - 2.
#00001095
Author: John Lazarchick
Category: Myeloid Neoplasms and acute leukemia (WHO 2016) > Myelodysplastic/myeloproliferative neoplasms (MDS/MPN) > Juvenile Myelomonocytic Leukemia (JMML)
Published Date: 06/01/2010

A marked increase and left shift of myeloid elements are noted. Two mitotic c figures are present.


Advertisement intended for health care professionals