Advertisement intended for health care professionals

l

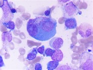
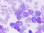
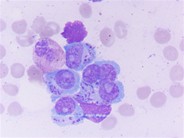
Heavily granulated myeloma cells; some granules are Auer rod-like - 1.

Heavily granulated myeloma cells; some granules are Auer rod-like - 1.
#00001252
Author: Abbas Hashim; Fatin Al-Yassin;
Category: Lymphoma: Mature B-cell and Plasma cell Neoplasms > Plasma Cell Neoplasm
Published Date: 12/01/2010

Heavily granulated myeloma cells. Some cells contain Auer rod-like granules.


Advertisement intended for health care professionals