Advertisement intended for health care professionals

l

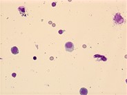
Myeloma: CNS - 1.

Myeloma: CNS - 1.
#00001295
Author: Peter Maslak
Category: Lymphoma: Mature B-cell and Plasma cell Neoplasms > Plasma Cell Neoplasm
Published Date: 12/01/2010

Plasma cells and lymphocytes are noted in this CSF cytospin from a patient with CNS involvement by multiple myeloma.


Advertisement intended for health care professionals