Advertisement intended for health care professionals

l

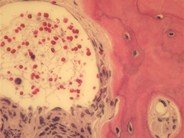
Primary myelofibrosis - fibrotic stage

Primary myelofibrosis - fibrotic stage
#00013501
Author: Peter Maslak
Category: Myeloid Neoplasms and acute leukemia (WHO 2016) > Myeloproliferative Neoplasms (MPN) > Primary Myelofibrosis (PMF)
Published Date: 08/31/2012

Bone marrow biopsy shows severe marrow fibrosis with osteosclerosis


Advertisement intended for health care professionals