Advertisement intended for health care professionals

l

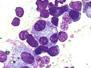
Plasma cell - 1.

Plasma cell - 1.
#00001665
Author: Peter Maslak
Category: Lymphoma: Mature B-cell and Plasma cell Neoplasms > Plasma Cell Neoplasm
Published Date: 09/27/2011

Multinucleated plasma cells can be seen in reactive conditions (MacNeal Tetrachrome 1000x)


Advertisement intended for health care professionals