Advertisement intended for health care professionals

l

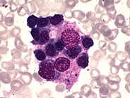
Hemophagocytosis - 1.

Hemophagocytosis - 1.
#00001866
Author: Peter Maslak; Susan McKenzie;
Category: Reactive Marrow
Published Date: 11/18/2002

Histiocytes ingesting red cell precursors may be seen in response to certain infections.


Advertisement intended for health care professionals