Advertisement intended for health care professionals

l

Multiple Myeloma - 3.

Multiple Myeloma - 3.
#00001996
Author: Peter Maslak
Category: Lymphoma: Mature B-cell and Plasma cell Neoplasms > Plasma Cell Neoplasm
Published Date: 04/14/2003

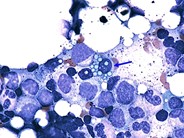
These plasma cells have basophilic cytoplasm with a prominent centrosome.


Advertisement intended for health care professionals