Advertisement intended for health care professionals

l

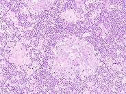
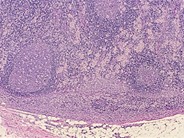
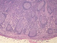
Toxoplasmosis - 5.

Toxoplasmosis - 5.
#00002019
Author: Marshall Kadin
Category: Reactive Marrow > Reactive changes
Published Date: 04/16/2003

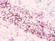
Immunoperoxidase stain of CD20+ B cells in monocytoid B cell hyperplasia.


Advertisement intended for health care professionals