Advertisement intended for health care professionals

l

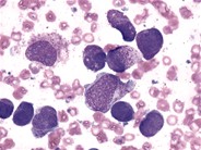
Hypergranulated Acute Promyelocytic Leukemia - 4.

Hypergranulated Acute Promyelocytic Leukemia - 4.
#00002043
Author: Peter Maslak
Category: Myeloid Neoplasms and acute leukemia (WHO 2016) > Acute Myeloid Leukemia > Acute Myeloid Leukemia with recurrent genetic abnormalities > AML with t(15;17)(q22;q12); PML-RARA (and variants)
Published Date: 04/28/2003

The nuclear-cytoplasmic border may appear indistinct in the abnormal promyelocytes.

Advertisement intended for health care professionals