Advertisement intended for health care professionals

l

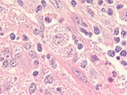
Histoplasmosis

Histoplasmosis
#00021271
Author: Naresh Pemmaraju
Category: Infectious Disease > Fungi > Histoplasmosis  
Published Date: 09/19/2013

Extensive histoplasmosis involving the bone marrow (H&E, 100X magnification)

Advertisement intended for health care professionals