Advertisement intended for health care professionals

l

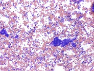
Metastatic Neuroblastoma - 2.

Metastatic Neuroblastoma - 2.
#00002384
Author: John Lazarchick; Hach Turyan;
Category: Laboratory Hematology > Non-hematopoietic malignancies involving the blood or bone marrow > Metastatic Neuroblastoma
Published Date: 09/23/2011

Several clumps of non-hematopoietic cells with syncytium formation are evident in this view. Individual cell cytoplasmic borders can not be defined. (W-G 10x)

Advertisement intended for health care professionals