Advertisement intended for health care professionals

l

Metastatic Neuroblastoma - 3.

Metastatic Neuroblastoma - 3.
#00002385
Author: John Lazarchick; Hach Turyan;
Category: Laboratory Hematology > Non-hematopoietic malignancies involving the blood or bone marrow > Metastatic Neuroblastoma
Published Date: 09/27/2011

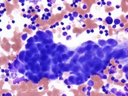
Syncytium formation by the tumor is more apparent at higher magnificaion with individual nuclei identifiable but cytoplasmic borders of individual cells being indistinct. (W-G 40x)

Advertisement intended for health care professionals