Advertisement intended for health care professionals

l

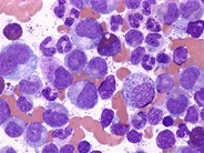
Chronic Phase CML - 2.

Chronic Phase CML - 2.
#00002455
Author: Peter Maslak
Category: Myeloid Neoplasms and acute leukemia (WHO 2016) > Myeloproliferative Neoplasms (MPN) > Chronic Myelogenous Leukemia (CML), BCR-ABL1+
Published Date: 02/24/2004

Eosinophils may be increased.


Advertisement intended for health care professionals