Advertisement intended for health care professionals

l

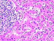
Plasma Cell Leukemia - 2.

Plasma Cell Leukemia - 2.
#00002519
Author: Tsuyako Saito
Category: Lymphoma: Mature B-cell and Plasma cell Neoplasms > Plasma Cell Neoplasm
Published Date: 04/14/2004

Peripheral blood smear showing five myeloma cells along with rouleaux formation of erythrocytes.


Advertisement intended for health care professionals