Advertisement intended for health care professionals

l

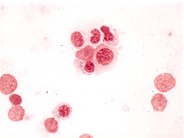
Refractory Anemia with Ring Sideroblasts - 1.

Refractory Anemia with Ring Sideroblasts - 1.
#00002625
Author: Peter Maslak
Category: Myeloid Neoplasms and acute leukemia (WHO 2016) > Myelodysplastic Syndromes (MDS) > MDS with Ring Sideroblasts (MDS-RS)
Published Date: 06/20/2004

Bone marrow aspirate is hypercellular with erythroid hyperplasia and prominent dyserythropoiesis.


Advertisement intended for health care professionals