Advertisement intended for health care professionals

l

Refractory ALL - 1.

Refractory ALL - 1.
#00002643
Author: Peter Maslak
Category: Myeloid Neoplasms and acute leukemia (WHO 2016) > Precursor Lymphoid Neoplasms
Published Date: 06/30/2004

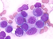
This patient was noted to have delayed peripheral blood cell count recovery following HyperCVAD. Bone marrow aspirate reveals some early myeloid cells and increased blasts.


Advertisement intended for health care professionals