Advertisement intended for health care professionals

l

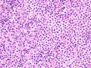
Marginal Zone Lymphoma - 2.

Marginal Zone Lymphoma - 2.
#00002855
Author: Marshall Kadin
Category: Lymphoma: Mature B-cell and Plasma cell Neoplasms > Low-grade B-cell lymphoma > Nodal Marginal Zone Lymphoma
Published Date: 11/19/2004

Neoplastic marginal zone cells with moderately abundant cytoplasm have plasmacytoid appearance.


Advertisement intended for health care professionals