Advertisement intended for health care professionals

l

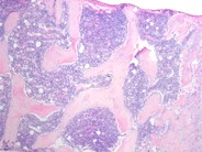
Kostmann's Syndrome - 7.

Kostmann's Syndrome - 7.
#00002965
Author: John Lazarchick
Category: Myeloid Disorders
Published Date: 02/14/2005

The prominent myeloid hyperplasia is best seen in this view. There are >10 rows of myeloid precursors seen in the paratrabecular area but no terminal myeloid maturation. Normally myeloid cells in this region are 1-3 cells deep.


Advertisement intended for health care professionals