Advertisement intended for health care professionals

l

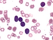
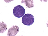
Precursor B-Lymphoblastic Leukemia - 2.

Precursor B-Lymphoblastic Leukemia - 2.
#00003017
Author: Peter Maslak
Category: Myeloid Neoplasms and acute leukemia (WHO 2016) > Precursor Lymphoid Neoplasms
Published Date: 03/14/2005

In this case, the blasts are relatively small in size.


Advertisement intended for health care professionals