Advertisement intended for health care professionals

l

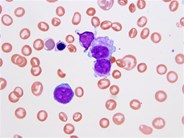
Transient myeloproliferative disorder

Transient myeloproliferative disorder
#00030265
Author: Kristian T. Schafernak
Category: Myeloid Neoplasms and acute leukemia (WHO 2016) > Acute Myeloid Leukemia > Myeloid proliferations related to Down syndrome > Transient abnormal myelopoiesis
Published Date: 09/09/2014

Transient myeloproliferative disorder (TMD), found in newborns with trisomy 21 (Down Syndrome) , is a megakaryocytic leukemia that although lethal in some (roughly 10-20%) spontaneously resolves in most patients. Smear shows typical blasts more prevalent in the peripheral blood than marrow.

Advertisement intended for health care professionals