Advertisement intended for health care professionals

l

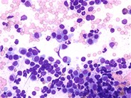
Plasma Cell Leukemia - 3.

Plasma Cell Leukemia - 3.
#00003144
Author: Peter Maslak
Category: Lymphoma: Mature B-cell and Plasma cell Neoplasms > Plasma Cell Neoplasm
Published Date: 08/29/2005

Mature and immature plasma cells are noted.


Advertisement intended for health care professionals