Advertisement intended for health care professionals

l

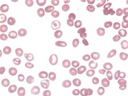
Hemoglobin S/C Disease - 2.

Hemoglobin S/C Disease - 2.
#00003172
Author: Peter Maslak
Category: Red Cell: Hemoglobin disorder
Published Date: 09/18/2005

Elogated forms as well as cells which appear contracted are noted. Polychromasia can also be appreciated.

Advertisement intended for health care professionals