Advertisement intended for health care professionals

l

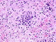
Intravascular Large Cell Lymphoma - 1.

Intravascular Large Cell Lymphoma - 1.
#00003207
Author: Anthony Martyniak
Category: Lymphoma: Mature B-cell and Plasma cell Neoplasms > Large B-cell lymphomas (not Richter transformation) > Intravascular large B-cell lymphoma
Published Date: 07/01/2006

Lymphoma cells present within the subendothelium and subendothelial capillaries of a large pulmonary vein. The patient was a 72-year-old woman who presented with multiple strokes of unclear etiology. Ultimately a brain biopsy revealed the diagnosis. She subsequently became increasingly tachypneic and developed multi-lobar pneumonia. The presence of lymphoma cells within the alveolar capillaries, interrupting gas exchange, can explain the patient's respiratory symptoms.


Advertisement intended for health care professionals