Advertisement intended for health care professionals

l

Rodent Cell - 1.

Rodent Cell - 1.
#00003306
Author: Peter Maslak; Joseph Scandura;
Category: Reactive Marrow
Published Date: 07/01/2007

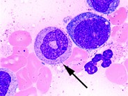
Arrow marks a dysplastic neutrophil with a circular nucleus reminiscent of the forms found in the blood of rodents.


Advertisement intended for health care professionals