Advertisement intended for health care professionals

l

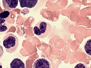
Dysgranulopoiesis - 7.

Dysgranulopoiesis - 7.
#00003576
Author: Peter Maslak
Category: Laboratory Hematology > Basic cell morphology > Morphologic variants of white blood cells
Published Date: 10/01/2008

Hypogranulation: arrow points to a myeloid precursor with relative absence of secondary granules. The cytoplasm takes on a bluish-gray hue.


Advertisement intended for health care professionals