Advertisement intended for health care professionals

l

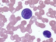
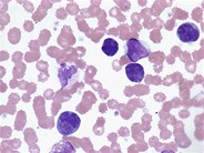
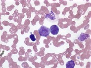
Sezary syndrome - peripheral blood - 2.

Sezary syndrome - peripheral blood - 2.
#00003637
Author: Peter Maslak
Category: Lymphoma: Mature T and NK cell lymphoproliferations > Mature T-cell Leukemias > Sezary Syndrome
Published Date: 10/01/2008

Atypical lymphocyte with a cerebriform nucleus.


Advertisement intended for health care professionals