Advertisement intended for health care professionals

l

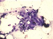
Megakaryocytic hyperplasia - 1.

Megakaryocytic hyperplasia - 1.
#00003641
Author: Peter Maslak
Category: Reactive Marrow > Therapy effects > Chemotherapy – regenerative changes
Published Date: 09/28/2011

Megakaryocytes may be transiently increased in the marrow as part of a reactive process. Here, the patient is recovering from chemotherapy.

Advertisement intended for health care professionals