Advertisement intended for health care professionals

l

CNS hemorrhage – AML - 1.

CNS hemorrhage – AML - 1.
#00003899
Author: Peter Maslak; Mark Frattini;
Category: Hemostasis and coagulation > Miscellaneous
Published Date: 09/28/2011

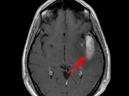
MRI from a patient with AML who presented with hyperleukocytosis and developed a temporal lobe hemorrhage (arrow) accompanied by cerebral edema.

Advertisement intended for health care professionals