Advertisement intended for health care professionals

l

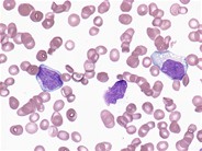
Leukemic phase of large cell lymphoma - 2.

Leukemic phase of large cell lymphoma - 2.
#00003906
Author: Peter Maslak
Category: Lymphoma: Mature B-cell and Plasma cell Neoplasms > Large B-cell lymphomas (not Richter transformation)
Published Date: 04/01/2009

Circulating lymphoma cells may be pleomorphic with basophilic cytoplasm resembling blasts.


Advertisement intended for health care professionals