Advertisement intended for health care professionals

l

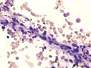
Bone marrow vessel - 1.

Bone marrow vessel - 1.
#00003912
Author: Peter Maslak
Category: Laboratory Hematology > Normal and reactive bone marow
Published Date: 04/01/2009

Vessels can sometimes be seen as part of bone marrow stromal elements. The enothelial cells, which make up the walls of the vessel, have a characteristic elongated "spindle" appearance.


Advertisement intended for health care professionals