Advertisement intended for health care professionals

l

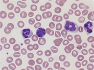
Juvenile myelomonocytic leukemia - 7.

Juvenile myelomonocytic leukemia - 7.
#00004006
Author: Peter Maslak
Category: Myeloid Neoplasms and acute leukemia (WHO 2016) > Myelodysplastic/myeloproliferative neoplasms (MDS/MPN) > Juvenile Myelomonocytic Leukemia (JMML)
Published Date: 08/01/2009

Although present in the bone marrow, monocytic elements may be more prominent in the peripheral blood.


Advertisement intended for health care professionals