Advertisement intended for health care professionals

l

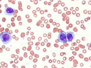
Hemophagocytic lymphohistiocytosis associated with AML-M5a - 1.

Hemophagocytic lymphohistiocytosis associated with AML-M5a - 1.
#00004034
Author: John Lazarchick
Category: Myeloid Neoplasms and acute leukemia (WHO 2016) > Acute Myeloid Leukemia > AML not otherwise specified > Acute monoblastic/monocytic leukemia
Published Date: 08/01/2009

Blast population on this peripheral smear have a monocytoid appearance with agranular basophilic cytoplasm with vacuolization and large nuclei with round to irregular nuclear borders. The cytoplasm of several of the blasts shows budding. The case illustrates the findings in AML-M5a.


Advertisement intended for health care professionals