Advertisement intended for health care professionals

l

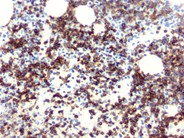
T-prolymphocytic leukemia - 2.

T-prolymphocytic leukemia - 2.
#00004066
Author: John Lazarchick
Category: Lymphoma: Mature T and NK cell lymphoproliferations > Mature T-cell Leukemias > T cell Prolymphocytic Leukemia
Published Date: 11/01/2009

The abnormal lymphoid cells are shown at higher magnification. The nuclear contours range from round to markedly irregular. Nucleoli can be seen in several of the cells.


Advertisement intended for health care professionals