Advertisement intended for health care professionals

l

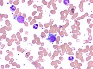
Micromegakaryocytes in peripheral blood smear - 3.

Micromegakaryocytes in peripheral blood smear - 3.
#00004098
Author: John Lazarchick
Category: Myeloid Neoplasms and acute leukemia (WHO 2016) > Myeloproliferative Neoplasms (MPN) > Chronic Myelogenous Leukemia (CML), BCR-ABL1+
Published Date: 11/01/2009

Another micromegakaryocyte is hown in this view. Cytoplasmic granularity is evident as well as platelet blebbing.


Advertisement intended for health care professionals