Advertisement intended for health care professionals

l

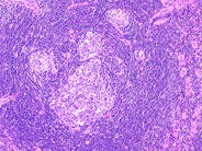
Castleman lymphadenopathy - 1.

Castleman lymphadenopathy - 1.
#00004148
Author: John Lazarchick
Category: Reactive Marrow > Atypical lymphoproliferative disorders
Published Date: 11/01/2009

Low-magnification view of lymph node in a patient with Castleman lymphadenopathy. Multiple lymphocyte depleted germinal centers of variable size are present. The mantle zone has the characteristic "onion skin" swirling pattern. Marked increase in interfollicular blood vessels is also seen.

Advertisement intended for health care professionals