Advertisement intended for health care professionals

l

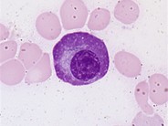
Flame cell - 1.

Flame cell - 1.
#00004174
Author: Peter Maslak
Category: Lymphoma: Mature B-cell and Plasma cell Neoplasms > Plasma Cell Neoplasm
Published Date: 11/01/2009

Flame cells are plasma cells with a distinctive reddish hue which accumulates around the peripheral areas of the cell. The color is due to accumulation of immunoglobulin.


Advertisement intended for health care professionals