Advertisement intended for health care professionals

l

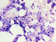
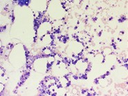
Systemic mastocystosis - 3.

Systemic mastocystosis - 3.
#00004185
Author: John Lazarchick
Category: Myeloid Neoplasms and acute leukemia (WHO 2016) > Myeloproliferative Neoplasms (MPN) > MPN, unclassifiable
Published Date: 11/01/2009

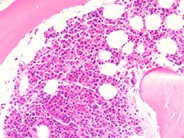
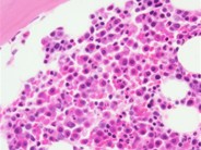
The extent of the mast cell infiltrate is shown in this view, with the presence of large aggregates of these cells.


Advertisement intended for health care professionals